병원소개
병원소개
홍선생의 특별함
홍선생의 특별함
치아교정
치아교정
임플란트
임플란트
심미치료
심미치료
충치치료
충치치료
사랑니
사랑니
턱관절
턱관절
전후사례
전후사례
인사말 및 원장소개
진료안내 & 오시는길
병원둘러보기
교정치과
통합치과치료
150평 규모의 넓은 치과
결과를 보여주는 치과
아프지않게 노력하는 치과
12단계 멸균 소독 시스템
인비절라인
고난도 교정
빠르고 안전한 급속교정
105가지 통합분석 시스템
미리보는 치료결과
소아성장기 교정
중장년층 교정
증상별교정
네비게이션 임플란트
맞춤 임플란트
뼈이식 상악동 거상술
발치즉시 임플란트
보험 임플란트
무치악 임플란트
무삭제 라미네이트
올세라믹 크라운
잇몸성형
치아미백
사각턱 보톡스
충치치료
신경치료
사랑니
턱관절
치료전후사례
전후사례
치료전후사례
전후사진으로 홍선생치과의 실력을 확인하세요.
HOME
전후사례
병원소개
홍선생의 특별함
치아교정
임플란트
심미치료
충치치료
사랑니
턱관절
전후사례
치료전후사례
치료전후사례
카톡 상담
온라인 예약
전체
덧니교정
돌출입교정
주걱턱교정
비대칭교정
무턱교정
매복치교정
개방교합
과개교합
앞니벌어짐
치간교정
정중선
임플란트교정
수술교정
재교정
치료전후사례
홍선생치과 치료사례는 환자분의 동의 하에 촬영되였으며, 무단복제, 사용을 금합니다. 치아 교정은 부작용이 발생할 수 있으며, 자세한 내용은 교정전문의와 상담하시기 바랍니다
Total 99건
1 페이지
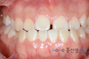
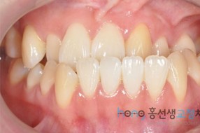
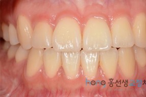
비대칭교정 전후
No.99
수술교정
2017-08-18
2820
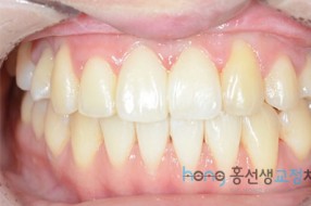
비대칭교정 전후
No.98
수술교정
2017-08-18
2120
비대칭교정 전후
No.97
수술교정
2017-08-18
2107
비대칭교정 전후
No.96
수술교정
2017-08-18
1998
비대칭교정 전후
No.95
수술교정
2017-08-18
1772
비대칭교정 전후
No.94
수술교정
2017-08-18
2265
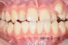
주걱턱교정 전후
No.93
수술교정
2017-08-18
2199
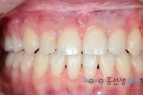
주걱턱교정 전후
No.92
수술교정
2017-08-18
2231
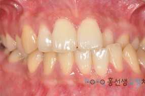
주걱턱교정 전후
No.91
수술교정
2017-08-18
2173
주걱턱교정 전후
No.90
수술교정
2017-08-18
2722
열린
1
페이지
2
페이지
3
페이지
4
페이지
5
페이지
6
페이지
7
페이지
8
페이지
9
페이지
10
페이지
맨끝
게시물 검색
검색대상
제목
내용
제목+내용
회원아이디
회원아이디(코)
글쓴이
글쓴이(코)
검색어
필수
검색
1. 교정전문의 대표원장
2. 통합치과치료
3. 150평 규모의 넓은 치과
4. 결과를 보여주는 치과
5. 아프지 않게 노력하는 치과
6. 12단계 멸균소독 시스템
상호명: 홍선생치과의원
대표자명: 박홍식
사업자등록번호: 309-06-93499
주소: 서울특별시 은평구 통일로 869, 서연빌딩 2층
대표번호: 02-383-9001
Copyright ⓒ 2020. 홍선생치과의원. all rights reserved.
개인정보 취급방침
홈페이지 이용약관
카톡상담
네이버예약
오시는길